Skin Cancer Treatment Patient 18**
About This Patient
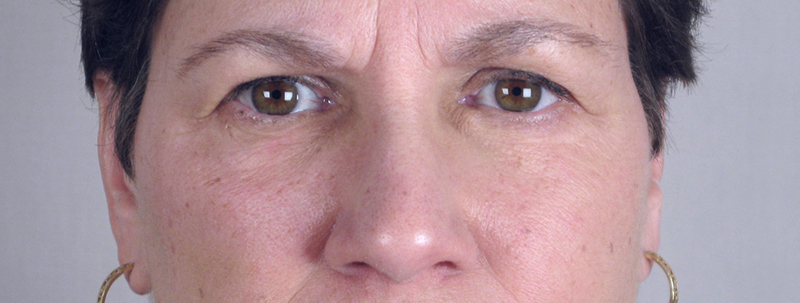
The patient was referred to Dr. Parker by a Moh’s surgeon for reconstruction following removal of a basal cell skin cancer using Moh’s surgery from the left lower eyelid. Under local anesthesia, Dr. Parker repaired the defect with a flap of adjacent skin and underlying subcutaneous tissue. Seven years later, the patient was again referred to Dr. Parker by the Moh’s surgeon after removal of another basal cell skin cancer this time from the right lower eyelid. Again, Dr. Parker repaired the defect with a flap of adjacent skin and underlying subcutaneous tissue. The patient healed well from both procedures and has inconspicuous scars.
**Individual results may vary. You will be able to see more patient before and after photos during your consultation.


