Lower Eyelid Lift
Lower blepharoplasty is designed to improve a tired, puffy look under the eyelids to restore a smooth, rested look.
Add to my wish list
Quick Facts
- 115,508 patients had eyelid surgery in 2018**
- Your custom lower eyelid lift may include a combination of fat removal, repositioning of skin, and post-surgery chemical peel.
- Most patients are worried about under-eye bags, but eyelid hollowing can happen too! Dr. Parker uses targeted fat grafting to create a smooth contour.
Cost & Recovery
- $2,500 to $5,200
- With our Rapid Recovery Program, expect to resume normal activities in 10 days
** Statistical information listed here is drawn from 2018 ASAPS data
New Jersey Lower Eyelid Lift Procedures
Dr. Parker’s approach to lower lid blepharoplasty is highly individualized, as no one patient’s face and eyelids age in the same way. He will evaluate your facial features and recommend a course of treatment based on the condition of your skin, fat, and muscle as well as the contour of your eyelid/cheek junction. He will fully discuss your options with you during your initial consultation.
Choosing the Right Procedure for You
The main cause of a tired, or puffy appearance to the lower eyelids is herniated “transconjunctival fat,” or fat underneath the eyelids. Lower eyelid rejuvenation almost always involves the removal or repositioning of this transconjunctival fat. Dr. Parker will adjust his technique depending on your age, the condition of the surrounding skin, and your desired results.
Article Contents
- Fat Removal Only: Ideal for younger patients with good skin conditioning
- Fat Repositioning: to smooth depressions in the tear troughs
- Fat Removal or Repositioning with TCA Chemical Peel: to smooth puffiness, tighten & smooth wrinkles
- Fat Removal or Repositioning & Skin Removal: to smooth puffiness & address sagging, aging skin
- Fat Removal or Repositioning, Skin Removal & TCA Peel: to smooth puffiness, tighten sagging skin & improve skin tone for dramatic rejuvenation
- Our Rapid Recovery Program for Eyelid Surgery
- How will lower eyelid surgery results look over time?
Transconjunctival Fat Removal Only
Before & After Lower Eyelid Fat Removal Only*
This 34 year old patient underwent fat removal alone through a transconjunctival approach.
This procedure is typically performed on younger patients who have good skin quality but have herniated fat causing puffiness of the lower lid. Dr. Parker makes an incision on the inner aspect of the lower eyelid to avoid an external scar. He then removes the herniated fat through this incision.
A transconjunctival blepharoplasty will correct the puffiness under your eyes and make you look well-rested and younger without any visible scarring. The procedure takes approximately 45 minutes to perform, most commonly using intravenous sedation to make you comfortable. You will be monitored in our recovery room for about one hour and then discharged home. The eyes are not bandaged and there are no sutures to remove.
Transconjunctival Fat Repositioning to Improve the Tear Trough
Before & After: Lower Lid Fat Repositioning*
This 34 year old patient had her herniated fat repositioned into the tear troughs only.
This procedure is typically performed on younger patients who have puffiness of the lower lid due to herniated fat and a depression in their tear trough area, but good skin quality. Dr. Parker makes an incision on the inner aspect of the lower eyelid to avoid an external scar. Instead of removing the herniated fat, he repositions it from its original location to fill the depression in the tear trough. If Dr. Parker points out that you have a tear trough depression, he will likely recommend this procedure to give you a more natural look in your lower eyelids than fat removal alone can accomplish.
A transconjunctival blepharoplasty with fat repositioning will correct the puffiness under your eyes and fill the tear trough depression. This will make you look well-rested and younger without any visible scarring. This procedure takes approximately one hour to perform, most commonly using either intravenous sedation or general anesthesia to make you comfortable. You will be monitored in our recovery room for about one hour, and then discharged home. The eyes are not bandaged, and there are no sutures to remove.
Transconjunctival Fat Repositioning & TCA Peel
Before & After Lower Eyelid Lift & TCA Peel*
This 40 year old patient had herniated fat repositioned into her “tear troughs” as well as a TCA peel to help tighten up her skin wrinkling.
This procedure is typically performed if you have puffiness of the lower eyelids due to herniated fat, crepiness, fine wrinkling and/or discoloration (surgeons call it “hyperpigmentation”) of your skin, with or without a depression in the tear trough area. Dr. Parker will make an incision on the inner aspect of the lower eyelid to avoid an external scar. If there is a tear trough depression present, he will reposition the herniated fat from its original location to fill in this depression. If there is no tear trough depression, Dr. Parker will remove the fat. He will then treat the crepiness, fine wrinkling and/or discoloration of your lower eyelid skin by applying a trichloroacetic acid (TCA) peel to it. This will tighten up the skin as well as improve any discoloration present.
This procedure will correct the puffiness under your eyes, fill any tear trough depression, and improve the appearance of your lower eyelid skin. This will make you look well rested and younger without any visible scars. This procedure takes approximately 75 minutes to perform, most commonly using intravenous sedation or general anesthesia to make you comfortable. You will be monitored in our recovery room for about one hour, and then discharged home. The eyes are not bandaged, and there aren’t any sutures to remove.
Transconjunctival Fat Repositioning & Skin Removal
Before & After Lower Eyelid Fat & Skin Removal*
This 53 year old patient had her herniated fat repositioned into her “tear troughs” as well as excess skin removed. In addition, a lateral canthopexy was performed for lower lid support.
Dr. Parker typically performs this procedure if you have both puffiness of the lower lids due to herniated fat and excess skin that requires removal, with or without a depression in the tear trough area. He makes an incision on the inner aspect of the lower eyelid, providing direct and safe access to the herniated fat. If there is a tear trough depression present, he will reposition the herniated fat from its original location to fill the depression in the tear trough. If there is no tear trough depression, Dr. Parker will remove the fat and then suspend the lateral canthal tendon (on the outer aspect of the eyelid) upward with sutures to minimize the risk of lower lid retraction during the healing process. Finally, Dr. Parker will make an incision just beneath the lash line and conservatively remove excess skin.
This procedure will correct the puffiness under your eyes and fill the tear trough depression if it is present. It will also improve the appearance of your lower eyelid skin. This will make you look both younger and well-rested. Though a lower lid scar is present, you will have a difficult time finding it.
This procedure takes approximately 90 minutes to perform. Either intravenous sedation or general anesthesia is most commonly used for your comfort. You will be monitored in our recovery room for about one hour and then discharged home. There are no bandages on the eyes, and sutures are removed within four to five days.
Fat Injections to Lower Eyelid Hollowing
Fat grafting to the lower eyelid area, which plastic surgeons refer to as the nasojugal groove and tear trough areas, “shortens” the apparent length of the lower eyelid. This results in a youthful, attractive smooth transition from the lower eyelid to the cheek.
After fat is harvested by Dr. Parker, it is purified and very carefully injected deep in a sub-muscular/pre-periosteal plane. He then carefully massages the fat to help create a smooth contour.
Before & After Fat Injections*

This 73 year old presented to Dr Parker with concerns about the worsening crepiness of her lower eyelid skin. She had undergone a blepharoplasty many years ago as well as laser resurfacing. Dr. Parker discussed the crepiness of her skin and pointed out the hollowing of her lower eyelids as well. He reviewed options with the patient and recommended the following: fat injections to help improve the hollowing of her lower eyelids and nanofat microneedling to help build up collagen in the skin to improve its crepiness.
Fat Repositioning, Skin Removal & TCA peel
Before & After Lower Eyelid Lift & TCA Peel*
This 63 year old patient had fat transferred to her “tear troughs” and excess skin removed, as well as a TCA peel to help improve fine wrinkling and hyperpigmentation. Dr. Parker also performed a lateral canthopexy for eyelid support.
This procedure is typically performed if you have:
- puffiness of the lower lids due to herniated fat
- excess skin which requires removal
- crepiness, fine wrinkling and/or discoloration (surgeons call it “hyperpigmentation”) of your skin and,
- the above with or without a depression in the tear trough area.
Dr. Parker makes an incision on the inner aspect of the lower eyelid, providing direct and safe access to the herniated fat. If there is a tear trough depression present, he will reposition the herniated fat from its original location to fill the depression in the tear trough. If there isn’t any tear trough depression, Dr. Parker will remove the fat. He will then suspend the lateral canthal tendon, on the outer aspect of the eyelid, upward with sutures to minimize the risk of lower eyelid retraction during the healing process. Dr. Parker will make an incision just beneath the lash line and conservatively remove excess skin. Finally, to treat the fine wrinkling and/or discoloration of the skin, he will carefully apply a trichloroacetic acid (TCA) peel to the area. This will tighten up the fine wrinkling of the skin as well as improve any discoloration present.
This procedure will correct the puffiness under your eyes and fill the tear trough depression if it is present. It will also improve the appearance of your lower eyelid skin. This will make you look well rested and younger. Though a lower lid scar is present, you will have difficulty finding it.
This procedure takes approximately 90 minutes to perform, and Dr. Parker employs intravenous sedation or general anesthesia to make you comfortable. You will be monitored in our recovery room for about one hour, and then discharged home. The eyes are not bandaged, and sutures are removed within four to five days.
Your Results Will Last for Years
When performed by an experienced, skilled plastic surgeon, eyelid surgery results last for years and age naturally with you. You can keep your rejuvenated eyes looking their best by practicing good skincare habits, wearing sunscreen daily, and maintaining a healthy lifestyle.
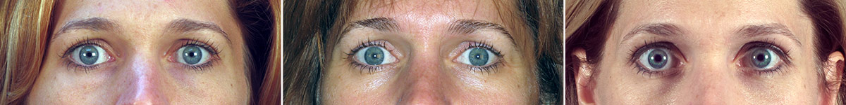
Lower Eyelid Surgery Results Age Naturally with You*

before 2 years after 9 years after
This patient is shown before and after her lower eyelid blepharoplasty with Dr. Parker. Even 9 years after her procedure, her eyes look youthful and refreshed.
Our Signature Rapid Recovery Program
Most of our patients lead active lives and are anxious to return to their activities as soon as possible after surgery. With that in mind, we have tailored our surgical procedures, anesthesia, and medications, and we have developed a unique Rapid Recovery peri-operative program to accelerate our patients’ recuperation after surgery.
While everyone heals differently, there is little, if any, postoperative pain following any of these lower eyelid procedures. Swelling is usually moderate and discoloration minimal. Both typically subside within 10 to 14 days. Camouflage make-up may be applied after ten days. Patients may return to normal activities in ten days and exercise in two weeks.
During both your consultation with Dr. Parker and in your pre-op education visit with our Nurse Educator, your anticipated recovery will be discussed in detail.




